После коронавируса и пневмонии: пути реабилитации и восстановления здоровья
- После коронавируса и пневмонии: пути реабилитации и восстановления здоровья
- Связанные вопросы и ответы
- Что такое реабилитация после коронавируса и пневмонии
- Какие факторы влияют на успех реабилитации после коронавируса и пневмонии
- Как проходит реабилитация после коронавируса и пневмонии
- Какие методы реабилитации используются после коронавируса и пневмонии
- Как оценить степень восстановления после коронавируса и пневмонии
- Какие симптомы могут остаться после коронавируса и пневмонии и как их лечить
- Как избежать осложнений после коронавируса и пневмонии
- Как подготовиться к реабилитации после коронавируса и пневмонии
После коронавируса и пневмонии: пути реабилитации и восстановления здоровья
При любом заболевании первыми попадают под удар органы, которые наиболее уязвимы в силу наследственных факторов или уже наметившихся сбоев в их работе. Это сугубоиндивидуально. Когда человек подхватывает вирус, начинается активное формирование антител. При сильном иммунном ответе есть высокие шансы справиться с агрессором. После победы иммунитет останавливает активную выработку цитокинов. Так должно быть в норме. Но в некоторых случаях происходит сбой и «атака» продолжается уже на здоровые клетки. При этом наносится огромный урон всем внутренним системам с их предельным ослаблением.Поэтому период восстановления после ковида затяжной и может занимать до полугода. При этом акцент делается не только на пораженные точки, но и на укрепление в целом. для этого:
- определяется уровень здоровья;
- намечается стратегия реабилитации;
- подбираются наиболее эффективные методы;
- обязательно проводится регулярный контроль динамики изменений.
Взаимосвязь между тяжестью заболевания, которое вы перенесли, и длительностью восстановительного процесса прямая, но нужно также учитывать, что изначально ослабленный человек будет дольше испытывать упадок сил и другие признаки истощения, прийти в норму ему будет гораздо сложнее.
РЕАБИЛИТАЦИЯ ДЫХАТЕЛЬНОЙ СИСТЕМЫ ПОСЛЕ КОРОНАВИРУСА
Особенность заболевания заключается в быстром поражении различных частей легкого. Может быть затронуто одно или сразу оба. При этом уже 20-30% создают значительные затруднения в дыхании, одышку, вызывают головокружения от недостатка кислорода. Ждать полного выздоровления нельзя, реабилитационные мероприятия начинаются при первом же улучшении состояния. Рекомендована дыхательная гимнастика в произвольной форме или с использованием тренажера Фокина, сеансы в солевой пещере, их можно заменить установкой рядом с кроватью специальной лампы из цельного кристалла. Также для восстановления и реабилитации после перенесенного коронавируса (ковида) по рекомендациям специалистов полезны умеренные физические нагрузки в домашних условиях, вибрационный массаж и диетическое питание.
Источник: https://yahudeyu.info/stati/vosstanovlenie-posle-covid-19-i-pnevmonii-puti-k-zdorovyu
Связанные вопросы и ответы:
Вопрос 1: Какие виды реабилитации могут быть полезными для пациентов, перенесших коронавирус и пневмонию
Ответ: Реабилитация после коронавируса и пневмонии может включать различные виды лечения, такие как физиотерапия, оздоровительная гимнастика, лечебная физкультура, массаж, а также психологическая поддержка. Физиотерапия помогает восстановить двигательные функции и повысить уровень физической активности пациента. Оздоровительная гимнастика и лечебная физкультура способствуют укреплению мышц, улучшению обмена веществ и повышению общей жизнеспособности организма. Массаж помогает расслабить мышцы, улучшить кровообращение и обмен веществ в тканях. Психологическая поддержка помогает пациентам справиться с эмоциональными проблемами, связанными с болезнью и восстановлением после нее.
Вопрос 2: Какие симптомы могут остаться после коронавируса и пневмонии, требующие реабилитации
Ответ: После перенесённой инфекции коронавирусом и пневмонией могут остаться различные симптомы, требующие реабилитации. К ним могут относиться одышка, утомляемость, слабость, боли в мышцах и суставах, головные боли, потеря аппетита, снижение работоспособности, нарушения сна, а также эмоциональные и психологические расстройства, такие как депрессия, тревожность, страх за своё здоровье. Реабилитация помогает уменьшить симптомы и вернуться к нормальной жизни.
Вопрос 3: Как часто проводить реабилитационные процедуры после коронавируса и пневмонии
Ответ: Частота проведения реабилитационных процедур после коронавируса и пневмонии зависит от индивидуальных особенностей пациента, его состояния здоровья и симптомов, требующих лечения. Обычно реабилитационные процедуры проводятся несколько раз в неделю, постепенно увеличивая их интенсивность и продолжительность. Однако, для каждого пациента индивидуальный план реабилитации составляется врачом-реабилитологом, учитывая все особенности его состояния.
Вопрос 4: Как определить, когда пациент готов к реабилитации после коронавируса и пневмонии
Ответ: Определение готовности пациента к реабилитации после коронавируса и пневмонии проводится врачом-инфекционистом или терапевтом. Он оценивает состояние здоровья пациента, степень выздоровления, наличие остаточных симптомов и определяет, готов ли пациент к реабилитации. Обычно пациент готов к реабилитации, когда температура тела нормализуется, симптомы инфекции сглаживаются, и уровень выносливости позволяет выполнять легкую физическую активность.
Вопрос 5: Как можно помочь пациентам, перенесшим коронавирус и пневмонию, в процессе реабилитации
Ответ: Пациентам, перенесшим коронавирус и пневмонию, в процессе реабилитации можно помочь, поддерживая их морально и психологически. Важно создать комфортные условия для проведения реабилитационных процедур, обеспечить необходимые медицинские услуги и консультации специалистов. Также полезно содействовать социальной интеграции пациентов, помогать им вернуться к обычной жизни, работе и социальному взаимодействию.
Вопрос 6: Какие меры предосторожности следует соблюдать при реабилитации после коронавируса и пневмонии
Ответ: При реабилитации после коронавируса и пневмонии следует соблюдать меры предосторожности, чтобы избежать осложнений и повторного заражения. Важно соблюдать правила личной гигиены, регулярно мыть руки, использовать салфетки при кашле и чихании, избегать контактов с больными людьми. Также необходимо соблюдать режим отдыха и правильное питание, чтобы поддерживать иммунитет и скорость выздоровления. При проведении реабилитационных процедур необходимо следить за состоянием здоровья пациента и не допускать перегрузок.
Что такое реабилитация после коронавируса и пневмонии
Инфицирование новым штаммом вируса SARS-CoV-2 вызывает в органах дыхания острый воспалительный процесс. Изначально вирус поражает верхние дыхательные пути, а затем может проникать в легкие и провоцировать развитие вирусной пневмонии. Она в свою очередь может осложняться присоединением вторичной бактериальной инфекции, что приведет к вирусно-бактериальному воспалению легких, которое лечится уже серьезнее, дольше и хуже переносится организмом.
При коронавирусной инфекции больше всего страдают альвеолы, являющиеся мельчайшими легочными структурами. Они имеют форму пузырьков и отвечают за осуществление газообменных процессов, т. е. поглощение кровью кислорода и ее очищение от углекислого газа. Коронавирус разрушает стенки альвеол, что приводит к нарушению этих процессов, а также накоплению в альвеолах воспалительного экссудата.

Это может приводить к замене пораженных участков плотной соединительной тканью, не способной к растяжению, что и называют фиброзом легких. В таких ситуациях они не смогут полноценно выполнять дыхательную функцию, а их жизненный объем уменьшится, что при обширном замещении нормальной ткани легких даже может стать причиной инвалидности.
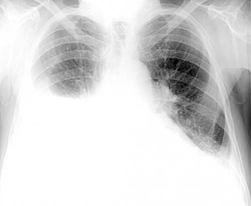
Возникающая в результате нарушения газообмена гипоксия, т. е. кислородное голодание, отрицательно сказывается на работе всего организма, поскольку все органы страдают от нехватки кислорода. На КТ или рентгеновских снимках в таких ситуациях становятся заметными белые пятна, что еще называют эффектом матового стекла. Впоследствии при развитии фиброза на снимках могут визуализироваться особые затемнения, указывающие на пневмофиброз. Хотя подобные изменения характерны не только для коронавирусной инфекции, но и для других тяжелых бактериальных и вирусных пневмоний.
Развитие пневмофиброза приводит к возникновению одышки, особенно после физической нагрузки, снижению работоспособности вплоть до инвалидности, приступам головокружения, сухому кашлю, болям в груди. В тяжелых случаях человек может не только терять способность к труду, но и к самообслуживанию. Именно для того, чтобы избежать подобных нежелательных последствий и требуется проведение восстановительных мероприятий или реабилитации после пневмонии и коронавируса.

Какие факторы влияют на успех реабилитации после коронавируса и пневмонии
Люди, перенесшие COVID-19, неизбежно сталкиваются с ухудшением работы легких. Это влечет за собой нарушение кислородного обмена в тканях организма, от чего страдают внутренние органы и структуры, в частности, сердце и костно-мышечный аппарат.
В результате:
- усиливается слабость во всем теле, пациент быстро чувствует переутомление;
- умеренная физическая нагрузка становится затруднительной или невозможной;
- снижается работоспособность;
- возможно повышение артериального давления и частоты сердечного ритма;
- развивается депрессия;
- появляется одышка;
- трудно дышать полной грудью.
Пневмония - одно из самых опасных заболеваний органов дыхания. Из всех пневмоний - COVID-ассоциированные вызывают наиболее серьезные повреждения. Это связано с тем, что коронавирус приводит к обширному поражению легочной ткани и эритроцитов, из-за чего снижается поступление кислорода в организм и страдают другие органы и ткани: почки, печень, головной мозг, сердце. Даже при легком или бессимптомном течении болезни на компьютерной томографии у пациентов часто выявляются обширные участки повреждения по типу «матового стекла».
Восстановление организма после перенесенной пневмонии требует комплексной терапии в течение нескольких месяцев. Реабилитация начинается в первые 2-3 недели от начала медикаментозного лечения. Проводиться она может в условиях дневного стационара или в домашних условиях при строгом соблюдении рекомендаций врачей.
Лечение и реабилитация легких после COVID 19 продолжается посредством профессиональной терапии , направленной на устранение последствий инфекционной пневмонии. Реабилитация после перенесенного COVID 19 необходима каждому переболевшему , вне зависимости от степени тяжести пережитого заболевания.Пациенты, столкнувшиеся со среднетяжелой и тяжелой формами коронавирусной пневмонии, нуждаются в особом внимании реабилитологов.
Как проходит реабилитация после коронавируса и пневмонии
Основная программа реабилитации после COVID-19 направлена в первую очередь на восстановление легких после пневмонии. Именно эти органы принимают на себя главный удар, и отрицательный тест ПЦР после лечения вовсе не говорит, что болезнь прошла, не оставив никакого следа. Легочная ткань еще долго «приходит в себя» после встречи с этим коварным вирусом. Так, стенки альвеол – тех мельчайших структур, которые обеспечивают дыхание, насыщая кровь кислородом и выводя из нее углекислый газ, утрачивают эластичность. Поэтому после коронавируса они не могут полноценно раздуваться, а значит, начинает страдать жизненно важный газообмен. Как итог в крови содержание кислорода снижено, а углекислоты – повышено. Поэтому у переболевшего человека еще долго сохраняется одышка и сниженная переносимость физических нагрузок.
Чтобы уменьшить риски такого неблагоприятного сценария, пульмонологи советуют начинать реабилитацию легких еще в остром периоде заболевания. Как только активность воспалительного процесса начнет снижаться, сразу необходимо переходить к дыхательной гимнастике. Также важно придавать телу возвышенное положение, чтобы легкие могли лучше расправляться. Если сидеть очень тяжело, то под головной конец следует подкладывать несколько подушек. Когда состояние улучшится, то вместо того, чтобы лежать в кровати, лучше сидеть или неспешно ходить. Для тренировки легких также подойдут такие простые процедуры, как, например, надувание воздушных шариков.
В программу реабилитации стоит добавить также вибрационный массаж, если кашель сохраняется длительное время. Эта процедура представляет собой ритмичные постукивания кулаками по спине в проекции легких, которые улучшают отхождение мокроты. После лабораторного выздоровления полезны умеренные физические нагрузки аэробного типа (пешие прогулки, неспешная велосипедная езда и т.д.), диетическое питание с повышенным содержанием белка и клетчатки, а также пребывание в соляных комнатах. В летнее время хорошо отправляться на морские курорты. Они позволят не только отдохнуть, но и оздоровить организм.
Средний период реабилитации легких после коронавируса составляет 2 месяца. Если по прошествии этого времени одышка сохраняется, а умеренные физические нагрузки вызывают сильную усталость, необходимо проконсультироваться с врачом и пройти повторное обследование. Возможно, программу реабилитации придется пересмотреть и усилить.
Реабилитация после коронавируса и пневмонии: восстановление легких
После лечения COVID-19 и пневмонии, основная программа реабилитации направлена на восстановление легких. Эти органы принимают на себя основной удар, и отрицательный тест ПЦР после лечения не означает, что болезнь не оставила никаких следов. Легочная ткань может еще долго "приходить в себя" после встречи с этим вирусом.
Стенки альвеол, которые обеспечивают дыхание, насыщая кровь кислородом и выводя из нее углекислый газ, утрачивают эластичность. Поэтому после коронавируса они не могут полноценно раздуваться, что приводит к страданию жизненно важного газообмена. В крови содержание кислорода снижено, а углекислоты - повышено. Это означает, что у переболевшего человека еще долго сохраняется одышка и сниженная переносимость физических нагрузок.
Чтобы уменьшить риск неблагоприятного сценария, пульмонологи рекомендуют начать реабилитацию легких еще в остром периоде заболевания. Как только активность воспалительного процесса начнет снижаться, необходимо переходить к дыхательной гимнастике. Важно также придавать телу возвышенное положение, чтобы легкие могли лучше расправляться. Если сидеть тяжело, то под головной конец следует подкладывать несколько подушек.
Когда состояние улучшится, вместо того, чтобы лежать в кровати, лучше сидеть или неспешно ходить. Для тренировки легких также подойдут простые процедуры, такие как надувание воздушных шариков.
Важно помнить, что реабилитация после коронавируса и пневмонии - это длительный процесс, который требует времени и усилий. Только комплексное лечение и реабилитация могут помочь восстановить функции легких и обеспечить полноценное здоровье.
Какие методы реабилитации используются после коронавируса и пневмонии
УТВЕРЖДАЮ
Заместитель Министра здравоохранения
Российской Федерации
Е.Г. Камкин
ВРЕМЕННЫЕ МЕТОДИЧЕСКИЕ РЕКОМЕНДАЦИИ
МЕДИЦИНСКАЯ РЕАБИЛИТАЦИЯ ПРИ НОВОЙ КОРОНАВИРУСНОЙ ИНФЕКЦИИ (COVID-19)
ВВЕДЕНИЕ
В конце 2019 года в Китайской Народной Республике (КНР) произошла вспышка новой коронавирусной инфекции, возбудителю которой̆ было дано временное название 2019-nCoV. Всемирная организация здравоохранения (ВОЗ) 11 февраля 2020 г. присвоила официальное название инфекции, вызванной новым коронавирусом, – COVID-19 («Coronavirus disease 2019»). Международный комитет по таксономии вирусов 11 февраля 2020 г. присвоил официальное название возбудителю инфекции – SARS-CoV-2 .
Появление COVID-19 и распространение его по миру поставило перед специалистами здравоохранения задачи, связанные с быстрой диагностикой инфекции, вызванной новым коронавирусом, оказанием специализированной медицинской помощи, реабилитации и вторичной профилактике. В настоящее время сведения об эпидемиологии, клинических особенностях и лечении накапливаются и обсуждаются специалистами в режиме реального времени. Информация о первичной, вторичной профилактике и медицинской реабилитации этого заболевания ограничены .
Известно, что наиболее распространенным клиническим проявлением нового варианта коронавирусной инфекции является двухсторонняя пневмония, у 3–4% пациентов зарегистрировано развитие острого респираторного дистресс-синдрома (ОРДС) .
В настоящий момент в мире сложилась ситуация, при которой достоверной профессиональной информации об оказании медицинской помощи по медицинской реабилитации пациентам с COVID-19 недостаточно, так как это заболевание является новым. Традиционный способ получения необходимой информации, путем привлечения данных ранее выполненных научных исследований оказался неэффективным, поскольку опыт лечения пациентов с новой коронавирусной инфекцией измеряется всего несколькими месяцами. Учитывая необычность самой ситуации пандемии и особенности патогенеза заболевания, вызванного SARS-CoV-2, шаблонное применение общепринятых методов реабилитации после перенесенных респираторных заболеваний может быть небезопасным или неэффективным.
В разработке методических рекомендаций принимают участие организации и клиники, которые в настоящий момент оказывают медицинскую помощь пациентам с COVID-19 и уже имеют определенный опыт в осуществлении медицинской реабилитации данным пациентам .
Временные методические рекомендации, представленные в документе, базируются на материалах по медицинской реабилитации пациентов с COVID-19 на различных этапах оказания специализированной медицинской помощи, опубликованных специалистами ВОЗ, анализе отчётов клиник, осуществляющие медицинскую реабилитацию пациентов с COVID-19 в данный момент, а также на результатах клинических исследований, проведенных ранее и посвященных реабилитации пациентов с ПИТ-синдромом (синдромом последствий интенсивной терапии) и ОРДС взрослых некоронавирусной этиологии, нормативно-правовых документах Минздрава России и Роспотребнадзора.
Данные рекомендации предназначены для руководителей медицинских организаций и их структурных подразделений, врачей-терапевтов, врачей общей практики, врачей-инфекционистов, врачей-педиатров, врачей-реаниматологов отделений интенсивной терапии инфекционных стационаров, врачей по лечебной физкультуре и спортивной медицине, врачей физиотерапевтов, медицинских психологов, инструкторов-методистов по лечебной физкультуре, медицинских сестер и других специалистов мультидисциплинарных реабилитационных бригад, работающих в сфере оказания медицинской помощи пациентам с COVID-19 на различных этапах.
Как оценить степень восстановления после коронавируса и пневмонии
Восстановление иммунитета после коронавируса происходит быстрее, если придерживаться нескольких принципов:
- Сбалансированное питание, отказ от вредных продуктов. После перенесенной болезни организму нужны силы для восстановления. Необходимо придерживаться дробного питания, богатого белками, жирами, клетчаткой, витаминами и минералами. Углеводную пищу следует выбирать такую, которая расщепляется медленно и не вызывает повышение сахара в крови.
- Прием аптечных средств. Любая медикаментозная и витаминная терапия возможны исключительно после назначения лечащим врачом. Специалист должен определить, что и сколько принимать для восстановления и профилактики. Самолечение может нанести вред истощенному организму.
- Лечебная физкультура (ЛФК). Это обязательное условие реабилитации. Необходимо ввести в распорядок дня регулярные прогулки на свежем воздухе с нарастающей интенсивностью. Начинать с минимальных расстояний и со временем увеличивать дистанцию. Не стоит выполнять силовые упражнения и применять кардионагрузки. Лучше больше ходить и постепенно начинать тренироваться на велотренажере. Особое внимание следует уделить легким, практиковать дыхательную гимнастику. Помогают также посещение бассейна и медицинский массаж грудной клетки. Упражнения улучшают циркуляцию крови и усиливают снабжение кислородом внутренних органов.
- Хороший сон. Отдых должен длиться не менее 7-8 часов. Нужно снизить активность минимум за 2 два часа до того, как ложиться в кровать. Телевидение, интернет и гаджеты не должны сопутствовать подготовке к отдыху. Допускается легкое чтение, чтобы не перегружать нервную систему.
- Психологическая стабильность. После COVID-19 часто страдает ЦНС. Это выражается в бессонницах, раздражительности, реакции на запахи и шумы, панических атаках. Если спустя две недели состояние не улучшается, необходимо срочно обратиться к неврологу и пройти курс лечения.
Какие симптомы могут остаться после коронавируса и пневмонии и как их лечить
При стандартных типах вируса инкубационный период длится 1-10 дней, при инфекции COVID-19 — до 14 дней (в среднем 5-7 дней).
Чаще всего типичная коронавирусная инфекция протекает бессимптомно или приводит к развитию малозаметных симптомов по типу ОРЗ с поражением носовой полости и глотки. Наблюдается слезотечение, щекотание в носу, насморк с необильным слизистым отделяемым, нарушение обоняния, першение или лёгкие боли в горле, сухой кашель (спустя время — с небольшим количеством мокроты). Больной чувствует недомогание, слабость, познабливание, возможны умеренные головные боли, повышение температура тела не более чем на 38°С. У детей ко всем перечисленным симптомам могут присоединиться признаки поражения пищеварительного тракта в виде дискомфорта в животе, неустойчивого стула и тошноты. В течение недели выраженность симптоматики снижается и наступает выздоровлен ие. Иногда заболевание проявляется лишь небольшой слабостью даже при поражении около 25 % лёгких, которое визуализируется только на КТ органов грудной клетки.
В отличие от круглогодичных форм коронавирусной инфекции высокопатогенные формы болезни проявляются гораздо тяжелее, их прогноз в 20 % очень серьёзен.
Наиболее распространённые симптомы COVID‑19 :
- увеличение температуры тела до 38°С;
- повышенная утомляемость;
- потливость;
- сухой кашель;
- потеря вкуса и обоняния;
- тошнота;
- диарея.
У части больных могут отмечаться боли в мышцах и суставах, насморк, заложенность носа, снижение или исчезновение обоняния, першение в горле, умеренная диарея. Обычно эти симптомы развиваются постепенно и выражены неярко.
У большинства инфицированных не возникают какие-либо серьёзные симптомы или плохое самочувствие, как и при остальных формах коронавирусной инфекции. В 80 % болезнь заканчивается полным выздоровлением.
Примерно в одном из шести случаев COVID-19 (преимущественно у пожилых и ослабленных сопутствующими заболеваниями людей) возникает тяжёлая симптоматика с развитием дыхательной недостаточности :
- усиливается лихорадка и кашель;
- появляется одышка, атипичный тип дыхания;
- нарастает слабость;
- возможны боли в груди при дыхании и кашле, боли в животе и тахикардия ;
- губы и нос приобретают синюшный оттенок;
- возможно нарушение и спутанность сознания.
Все эти признаки могут указывать на развивающуюся пневмонию или респираторный дистресс-синдром лёгких. В этих случаях требуется срочная госпитализация в отделение реанимации и интенсивной терапии. Время от появления симптомов COVID-19 (при подтверждении возбудителя) до смерти в тяжёлых случаях составляет от 6 до 41 дня (в среднем 14 дней).
Коронавирусная инфекция у беременных. Пока нет исчерпывающих данных о специфическом негативном влиянии коронавирусной инфекции и инфекции COVID-19 в частности на исход и течение беременности, состояние плода и ребёнка, развитие внутриутробной патологии. Однако течение болезни при новой коронавирусной инфекции достаточно тяжёлое.
Коронавирусная инфекция у детей. Дети, как правило, переносят заболевание легче, чем взрослые. В некоторых случаях возможно развитие пневмонии. Обычно она возникает у детей с отягощённым фоном по простудным заболеваниям или лёгочной патологии.
Последствия коронавируса и пневмонии: симптомы и лечение
После перенесенной коронавирусной инфекции и пневмонии у некоторых людей могут остаться симптомы, которые могут быть неприятными и мешать нормальной жизни. В этой статье мы рассмотрим, какие симптомы могут остаться после коронавируса и пневмонии, и как их лечить.
Симптомы после коронавируса и пневмонии
После перенесенной коронавирусной инфекции и пневмонии у некоторых людей могут остаться следующие симптомы:
- Усталость и слабость
- Боли в мышцах и суставах
- Насморк и заложенность носа
- Снижение или исчезновение обоняния
- Першение в горле
- Умеренная диарея
- Сухой кашель
- Повышенная температура тела
Лечение симптомов после коронавируса и пневмонии
Лечение симптомов после коронавируса и пневмонии зависит от их выраженности и индивидуальных особенностей пациента. В некоторых случаях может быть необходимо обратиться к врачу для получения консультации и назначения лечения.
Для лечения симптомов после коронавируса и пневмонии могут быть использованы следующие методы:
- Антибиотики для лечения бактериальных инфекций
- Противовирусные препараты для лечения вирусных инфекций
- Обезболивающие препараты для лечения боли в мышцах и суставах
- Препараты для лечения диареи и тошноты
- Препараты для лечения кашля и насморка
- Витамины и минералы для поддержания иммунной системы
Профилактика симптомов после коронавируса и пневмонии
Для профилактики симптомов после коронавируса и пневмонии рекомендуется:
- Соблюдать правила личной гигиены
- Избегать контакта с больными людьми
- Пить много воды и поддерживать здоровый образ жизни
- Принимать витамины и минералы для поддержания иммунной системы
- Своевременно обращаться к врачу при появлении симптомов
В заключение, симптомы после коронавируса и пневмонии могут быть неприятными и мешать нормальной жизни. Однако, с помощью правильного лечения и профилактики, можно предотвратить или уменьшить выраженность этих симптомов.
.Как избежать осложнений после коронавируса и пневмонии
По данным открытой научно-исследовательской базы PubMed, наиболее распространенные осложнения после коронавируса (вирусной пневмонии) со стороны дыхательной системы, которые снижают качество жизни и сокращают функциональный объем главного дыхательного органа — это пневмофиброз и другие интерстициальные заболевания легких (ИЗЛ). Прогноз наименее благоприятный у пациентов, которые перенесли тяжелую пневмонию с обширным воспалением (КТ-3 и КТ-4) и диагностированным на КТ симптомом «булыжной мостовой». Выраженность фиброзных изменений может быть небольшой (при КТ-1 и КТ-2) — в этом случае пациент даже не почувствует, что в легких произошли изменения.
Фиброз — это защитная реакция организма на воспалительный процесс или травму. Она наблюдается приблизительно у 10-15% пациентов, переболевших вирусной пневмонией, ассоциированной с COVID-19. При фиброзе легких наблюдается патологическое разрастание соединительной ткани в альвеолярных капсулах и между ними (в интерстиции — легочном матриксе). В результате эластичная ткань дыхательного органа грубеет, образуются рубцы, сокращается пространство, предназначенное для кислорода.
Диффузный фиброз в разных сегментах приводит к деформации соединительнотканного каркаса легкого (по аналогии с ХОБЛ) и может существенно влиять на дыхание, вызывая непродуктивный кашель, одышку, резистентность к физическим нагрузкам.
Фиброз поддается консервативному лечению, но не всегда. По данным, описанным зарубежными медиками,* примерно 40% пациентов с диагностированными интерстициальными заболеваниями легких после коронавируса не восстанавливаются за 1 месяц, а нуждаются в реабилитации и дополнительном лечении, направленном на восстановление исходного объема легких.
Реабилитация после коронавируса с пневмофиброзом включает дыхательную гимнастику, ингаляции, физиопроцедуры, медикаментозную терапию. Зарубежные медики подчеркивают эффективность кортикостероидных препаратов при фиброзе легких, если у пациента нет противопоказаний.
При длительном фиброзном поражении легких у некоторых пациентов развивается тромбоз легких. Британские медики отмечают, что тромбоз легких или тромбоэмболия легочной артерии (ТЭЛА) относится к жизнеугрожающим состоянием. Почти половина пациентов, которые перенесли коронавирус в острой форме, страдают от легочной эмболии или кровяных сгустков в легких.
*Persistent Post-COVID-19 Interstitial Lung Disease. An Observational Study of Corticosteroid Treatment
Предрасположенность к тяжелому течению вирусной пневмонии с последующим развитием идиопатического фиброза зависит от:
- Возраста пациента (прогноз наименее благоприятен для людей преклонного возраста);
- Пола (осложнение более выражено у представителей мужского пола);*
- Сопутствующих заболеваний (гипертония, сахарный диабет);
- Пониженные показатели диффузионной способности и жизненной емкости легких.
*Peter M. George., Athol U. Wells, R. Gisli Jenkins, Pulmonary fibrosis and COVID-19: the potential role for antifibrotic therapy, 2020
Таким образом, у некоторых пациентов, переболевших вирусной пневмонией, вызванной COVID-19 в острой и тяжелой форме, на КТ могут быть выявлены признаки интерстициальных изменений легких, к которым относится и фиброз легких. К радиологическим признакам в данном случае относится усиление легочного рисунка — уплотнение альвеолярных капсул, интерстиция, нарушение структуры легочного матрикса.
Следствием обширного диффузного фиброза является стойкая дыхательная недостаточность, одышка, кашель — то есть утрата отдельных функциональных участков легких. На лечение пневмофиброза могут уйти месяцы (от 3 до 12), а иногда рубцевание легочной ткани носит необратимый характер.
Противофиброзная терапия включает дыхательную гимнастику, физиопроцедуры, стероидные препараты, ингаляции, коррекцию образа жизни. Тактика лечения и сроки реабилитации определяются врачом-пульмонологом. Специалист изучает анамнез и жалобы пациента, делает функциональные пробы, изучает КТ-изображения.
Остаточные респираторные симптомы после коронавируса (одышка, ощущение неполного вдоха, боль в горле) могут беспокоить пациента в течение 1-2 месяцев после того, как он переболел пневмонией. Если улучшений нет, рекомендуется сделать КТ легких или другое обследование, рекомендованное пульмонологом, терапевтом или ЛОР-врачом — в зависимости от жалоб.
Как подготовиться к реабилитации после коронавируса и пневмонии
Дыхательная гимнастика – первый и один из наиболее важных методов восстановления после коронавируса. Специальные упражнения помогают активизировать кровообращение в легких, что способствует улучшению газообмена, а также повышают эластичность легочной ткани, стимулируют выведение мокроты и помогают восстановить нормальный объем легких. Поэтому заниматься дыхательной гимнастикой стоит всем больным сразу после того, как сухой непродуктивный кашель сменится влажным, т. е. еще в момент перенесения инфекции. Особенно важна дыхательная гимнастика при наличии признаков поражения легких, повышенной секреции или затруднении отхождения мокроты.
Дыхательная гимнастика во время болезни
Заниматься дыхательной гимнастикой необходимо в хорошо проветриваемом помещении. В первые дни длительность занятий может составлять всего 30 секунд. Но со временем по мере улучшения самочувствия и устранения нарушений дыхания их продолжительность увеличивают до 15 минут. Главное – избегать переутомления! Все упражнения выполняются медленно, без усилий. Если во время занятия возникает головокружение, обязательно нужно сделать перерыв и возобновить упражнения после улучшения самочувствия. Занятия повторяют 3—4 раза в день.

На самых первых этапах, еще во время сохранения влажного кашля, показаны упражнения, направленные на усиление эвакуации слизистого секрета из бронхиол в бронхи и ее отхаркивание. Это:
- Глубокое и медленное дыхание. В момент вдоха необходимо добиться активных движений диафрагмой. Оптимальной частотой дыхания при этом упражнении является 12—15 вдохов в минуту. Но важно избегать остановки дыхания на продолжительные отрезки времени, особенно в период течения вирусной пневмонии.
- Выдох с сомкнутыми в трубочку губами. В зависимости от состояния больного давление губ друг на друга должно быть постоянным или переменным. Аналогом упражнения является выдох в стакан с водой через коктейльную соломинку.