Пять процедур на приеме ЛОР-врача. Организация отоларингологической помощи. Задачи ЛОР-врачей
- Пять процедур на приеме ЛОР-врача. Организация отоларингологической помощи. Задачи ЛОР-врачей
- Как очистить миндалины дома. Гнойные пробки в миндалинах - что делать?
- Промывание миндалин противопоказания. Промывание лакун миндалин
- Казеозные пробки комаровский. Промывание лакун небных миндалин
- Осложнения после промывания миндалин. Промывание лакун небных миндалин
- Казеозные пробки выходят сами. От чего образуются пробки в горле
Пять процедур на приеме ЛОР-врача. Организация отоларингологической помощи. Задачи ЛОР-врачей
Амбулаторно-поликлиническая помощь населению является важным разделом городского и ведомственного здравоохранения. В такой помощи нуждаются почти все больные (или пациенты) острыми респираторными заболеваниями (ОРЗ), заболеваниями верхних дыхательных путей и особенно больные с обострениями хронических ЛОР-заболеваний. Большинство из обратившихся больных (до 90%) начинают и заканчивают лечение в амбулаторных условиях. Большая обращаемость за ЛОР-помощью обусловливает значительные нагрузки на врачей во время амбулаторного приема.
Кроме того, оториноларингологи принимают участие в профилактических и диспансерных осмотрах и в других мероприятиях (беседы, чтение лекций, участие в конференциях и пр.). Все это требует рациональной организации труда врача-оториноларинголога в ЛОР-кабинете или медпункте. Установлено, что 52% своего рабочего времени ЛОР-специалист лечебно-профилактического учреждения тратит на выполнение функций, не регламентированых его должностными обязанностями. Это свидетельствует о том, что у врача существуют резервы рабочего времени для значительного улучшения качества ЛОР-помощи без дополнительных затрат.
Рассмотрим принципы, которыми руководствуются органы здравоохранения при обеспечении населения квалифицированной ЛОР-помощью, поскольку те же принципы могут быть использованы в различных медицинских подразделениях, в том числе ведомственного подчинения (МВД, ВС).
ЛОР-кабинет или отделение — одно из структурных подразделений амбулаторно-поликлинического учреждения. Его возглавляет наиболее квалифицированный специалист. Контроль за работой ЛОР-кабинета (отделения) осуществляется руководством медицинского подразделения. Врачи-оториноларингологи в своей деятельности руководствуются положением о ЛОР-кабинете (отделении) в соответствии с существующими нормативными документами по организации врачебной помощи населению как в целом, так и в частности (Федеральный закон от 21.11.2011 № 323-ФЗ «Об основах охраны здоровья граждан»; Приказ Министерства здравоохранения СССР от 23.09.1981 № 1000 «О мерах по совершенствованию организации работы амбулаторно-поликлинических учреждений»; Приказ Министерства здравоохранения СССР от 04.10.1980 № 1030 «Об утверждении форм первичной медицинской документации учреждений здравоохранения»; Приказ Минздравсоцразвития РФ от 25.07.2011 № 808н «О порядке получения квалификационных категорий медицинскими и фармацевтическими работниками»; Приказ Министерства здравоохранения СССР от 19.07.1985 № 970 «О мерах по дальнейшему совершенствованию медицинской помощи при заболеваниях уха, горла и носа»; Приказ Министерства здравоохранения РСФСР от 06.11.1985 № 788 «О мерах по дальнейшему совершенствованию медицинской помощи при заболеваниях уха, горла и носа в РСФСР» и др.), а также приказами, распоряжениями и инструкциями медицинских управлений ведомств (МО РФ и МВД РФ), согласно действующего законодательства.
Источник: https://vashsadluchshij.ru/stati/pyat-procedur-na-prieme-lor-vracha-5-voprosov-lor-vrachu-shustov-ki
Как очистить миндалины дома. Гнойные пробки в миндалинах - что делать?
Что такое миндалины?
Миндалины - это поверхностно расположенные в ротоглотке между небными дужками лимфатические узлы. Они представляют собой орган имунной защиты от угрозы попадания болезнетворных микроорганизмов в нижние дыхательные пути, то есть орган, призванный очищать вдыхаемый воздух от инфекции, либо локализовать эту инфекцию (принять огонь на себя) чтобы не допустить ее распространение ниже.
Здоровые миндалины представляют собой образования, пронизанные «лакунами» и «криптами» (складками и ходами), это предусмотрено для того, чтобы таким образом многократно увеличить поверхность рабочего эпителия, продуцирующего защитные антитела и иммуноглобулины. То есть намерения иметь такую «многоходовую» структуру абсолютно благие. Но, как известно, все наши достоинства - они же и наши недостатки. Так и в этом случае, если здоровая ткань миндалины должна самоочищаться , и лакуны (карманы) и крипты (ходы) не должны накапливать никакого содержимого, то миндалина, измученная работой не справляется с этой функцией и накапливает в своих «закормах» слущенный эпителий, а иногда и остатки пищи в виде беловато-желтоватых масс, являющихся прекрасной средой для развития бактерий, о чем свидетельствует неприятный запах от этих накоплений.
Сами пациенты замечают, что в миндалинах накапливается какое то содержимое, либо определив это визуально, либо по чувству инородного тела справа или слева, «покалывания» при глотании, иногда это отделяемое может откашливаться и отплевываться или обнаруживается как случайная находка при осмотре горла врачом — оториноларингологом.
В этом случае миндалина уже не работает как орган защиты и является скорее очагом инфекции.
Чем опасны пробки в миндалинах?
Оставлять без внимания такой процесс в миндалинах нельзя, в части случаев отделяемое в лакунах заселяет гемолитический стрептококк , антигенная структура которого очень похожа на антигенную структуру ряда тканей нашего организма, а именно: сердечной мышцы, паренхимы почек, синовиальной сумки (суставная ткань). Антитела, которые старательно вырабатывает организм, не справляясь с инфекцией в миндалинах, могут атаковать собственные ткани, приводя к ревматической патологии: ревматизм, ревматоидный артрит и т.д. И это только самые грозные осложнения, чаще же всего, имея такой очаг в ротоглотке мы чувствуем это на качестве жизни. Любое переохлаждение приводит к воспалению миндалин задней стенки глотки: появляются боли в горле, заложенность носа, может присоединиться отит, гайморит, то есть инфекция, которая нашла себе пристанище в миндалинах, при удобном случае и снижении резистентности организма: переохлаждении под кондиционером, при активном отдыхе в холодное время года и.т.д., начинает активное размножение и обсеменение слизистых своей патогенной флорой.
Промывание миндалин противопоказания. Промывание лакун миндалин
Промывание лакун миндалин
Промывание лакун небных миндалин у нас в клинике осуществляется на специализированном ЛОР-оборудовании с помощью гортанных канюлей, через которые пропускается специально подготовленный антисептический раствор. Раствор для промывания составляется индивидуально нашим врачом-отоларингологом на основании результатов анализов и индивидуальных особенностей пациента.Когда назначается процедура?
Миндалины ― это особые скопления лимфоидной ткани в ротовой полости и носоглотке. Это ― маленькие фильтры, напрямую связанные с иммунной и кроветворной системами. Верхняя (видимая) часть небных миндалин представлена достаточно рыхлой эпителиальной тканью, которая в процессе развития сформировалась в так называемые лакуны.
В этих лакунах “оседают” мелкие инородные тела и болезнетворные микроорганизмы, которые при отсутствии миндалин проникали бы непосредственно в организм и вызывали бы интоксикацию.
Часто, после не пролеченных простудных или вирусных заболеваний, при общем снижении иммунитета или воспалении, миндалины становятся «гнездом» для развития патогенных микроорганизмов. Их основная функция разрушается. Физиологический процесс этого разрушения сложен и еще не до конца изучен. Однако, развитие патогенной флоры приводит к различным, иногда достаточно тяжелым последствиям.

Когда лакуны миндалин забиваются гнойными выделениями, а также продуктами жизнедеятельности бактерий, возникают характерные. Из-за сложности строения тела миндалины и огромного количества лакун, обычное полоскание ротовой полости не всегда эффективно, поэтому пациенту при тонзиллите и аналогичных заболеваниях целесообразно пройти курс промывания миндалин.
При каких симптомах необходимо обратиться к ЛОР-врачу:- боли в горле во время глотания;
- увеличенные шейные и подчелюстные лимфоузлы;
- отечность слизистых в ротовой полости;
- слабость и повышенная температура;
- неприятный запах изо рта.
противопоказания к промыванию лакун миндалин
к сожалению, промывание миндалин имеет ряд противопоказаний, которые необходимо учитывать во время лечения. среди них:- острые инфекционные заболевания;
- онкология;
- туберкулез;
- гипертоническая болезнь;
- сердечно-сосудистые и легочные патологии;
- беременность и период лактации;
- нарушения вегетативной нервной системы.

Курс промывания лакун миндалин
При первых признаках тонзиллита или ангины ― не тяните с посещением врача. Это заболевание протекает непредсказуемо и часто переходит в хроническую форму. Только врач сможет назначить грамотное лечение патологии, в том числе (при необходимости) курс промывания лакун миндалин.
Почему необходим именно курс?
Дело в том, что процесс развития патогенной флоры непрерывен. Разовое удаление гнойных скоплений даст лишь кратковременный эффект, который продлится не более двух дней. А курс из 5-10 процедур позволит не только полностью очистить лакуны, но и уничтожить патогенную флору, снять воспаление и поднять иммунитет.
Если вас интересует промывание лакун миндалин, вы можете записаться на консультацию к одному из специалистов Центра по телефону: +7 (495) 984-19-10
Обращался к ЛОР-врачу в клинике Лазмед, хотел проконсультироваться об удалении миндалин. Врач подробно рассказал о показаниях для удаления и о том, как проходит процедура. Хотя я еще не решил стоит ли удалять, все равно благодарен за экскурс.
Егор
Поплавала в холодной воде и как результат заболела отитом. Ухо болело невыносимо, что я только не делала, все, что прописал врач не помогало. Тогда я обратилась в Лазмед, с их правильным подходом и лечением я выздоровела буквально за неделю.
Светочка
Очень мучилась с ринитом, особенно в межсезонье, как только немного простужалась, сразу закладывало нос, сильно болела голова. Вылечилась только в Лазмед клинике. Большое спасибо квалифицированным врачам!
Мила
Доброго дня! Думаю, проблема с храпом знакома многим, я более 8 лет не могла нормально спать из-за храпа мужа. Он не хотел лечиться, но я привела его буквально за руку. Через 10 сеансов терапии он перестал храпеть! Всем не спящим женам советую!
Илона
В свое время мне очень помогла врач Лихачева Елена Владимировна, она помогла удалить полипы в носу. Я совершенно не могла дышать, это было большой проблемой. До сих пор вспоминаю врача добрым словом. Таких бы побольше специалистов!
Валентина
Для меня Лазмед клиника стала просто спасением! Обратился туда из-за хронического тонзиллита, не знал уже, как и лечить его. Спасибо врачам, мне назначили лазерную терапию и она помогла. Теперь о больном горле и не вспоминаю.
Источник: https://vash-lor.ru/novosti/pyat-procedur-na-prieme-lor-vracha-5-voprosov-lor-vrachu-shustov-ki
Казеозные пробки комаровский. Промывание лакун небных миндалин
Рекомендуется врачами при хроническом тонзиллите, в том числе для профилактики обострений заболевания. Может проводиться шприцем со специальной насадкой — канюлей или вакуумным методом.
Небные миндалины представляют собой скопления лимфоидной ткани в глотке, их важной анатомической особенностью являются крипты. Крипты — это ветвящиеся углубления в миндалинах, благодаря которым увеличивается площадь соприкосновения лимфоидной ткани с инфекционными агентами и, как следствие, быстрее осуществляется иммунный ответ.
В криптах также образуются тонзиллолиты — казеозные пробки, представляющие собой плотные образования, состоящие из слущенного эпителия и остатков пищи. Обычно пробки мелкие и выводятся сами, для человека этот процесс протекает незаметно. В ряде случаев пробки задерживаются в криптах, а когда к ним присоединяются бактерии и лейкоциты, они увеличиваются в размерах и становятся более плотными. С наличием тонзиллолитов связывают ощущение дискомфорта в горле, першение, рефлекторный кашель и очень редко, лишь в 3% случаев — галитоз ( неприятный запах изо рта ). Среди нормальной микрофлоры крипт отдельно выделяются анаэробы, вырабатывающие летучие соединения серы, именно из-за них пробка приобретает характерный неприятный запах.
Считается, что у казеозных пробок нет негативного влияния на здоровье, а значит опасности они не представляют. Только в России и на постсоветском пространстве выявление пробок ассоциировано с наличием хронического тонзиллита. В других странах это заболевание классифицируют как стойкое воспаление и отек в горле, сопровождаемые болевым синдромом, в ряде случаев требующие назначения системной антибактериальной терапии.
В нашей стране врачи обычно рекомендуют курс промываний, состоящий из 5 процедур, которые проводятся через день или реже. Данный подход основан не на доказательствах эффективности, а на предпочтениях конкретного специалиста, «его личном опыте» и желании пациента. Растворы для промывания используются самые разнообразные — начиная от фурацилина, заканчивая системными антибиотиками и бактериофагами.
Зарубежные врачи предлагают пациентам удалять пробки самостоятельно самыми различными способами. Не доказано, что курсовое промывание миндалин уменьшает частоту образования тонзиллолитов. Если казеозные пробки доставляют человеку выраженный дискомфорт, или его беспокоит неприятный запах изо рта, предлагается обсудить с лечащим врачом возможность тонзиллэктомии (удаления миндалин). Иногда, увы, это единственный способ избавления от пробок. Допускается разовое промывание миндалин для удаления тонзиллолитов (не в период обострения хронического тонзиллита!), если они доставляют сильный дискомфорт, в том числе психологический, а у пациента не получается это сделать самостоятельно.
Лечебный эффект промывания небных миндалин при профилактике обострений хронического тонзиллита не доказан. Четких рекомендаций, определяющих количество процедур, тоже нет.
Важно знать : промывание лакун миндалин — не лечебная и не профилактическая процедура.
Осложнения после промывания миндалин. Промывание лакун небных миндалин
Промывание лакун небных миндалин проводится при хроническом тонзиллите в компенсированной и субкомпенсированной стадии. В первом случае пациент жалуется лишь на небольшое недомогание, а врач при осмотре диагностирует небольшое воспаление лимфоидной ткани. Физиологические функции, которые выполняют небные миндалины, при этом не страдают, а заболевания носоглотки носят лишь эпизодический характер.
Во втором случае пациент достаточно часто страдает от ОРЗ и их осложнений, а лимфоидная ткань более не может выполнять свои иммунные и барьерные функции. Если на этой стадии промывание миндалин не помогает, то необходимо прибегать к их частичной деструкции.

Промывание лакун небных миндалин – так ли это страшно?
Процедура промывания миндалин может выполняться различными методами, суть которых сводится к удалению остатков еды и гнойного содержимого с поверхности лимфоидной ткани. Основная проблема заключается в том, что миндалина обладает не гладкой, а неоднородной поверхностью со множеством «карманов».
Такие «карманы» называются в медицине лакунами, и в них обычно задерживаются остатки пищи и другие субстанции, которые становятся отличной средой для роста и интенсивного размножения болезнетворных бактерий. Со временем из важного фактора формирования иммунитета миндалины становятся самостоятельным очагом инфекции, которая легко проникает в носоглотку и дыхательные пути.
Промывание лакун миндалин может осуществляться как в домашних условиях, так и в специализированной клинике. Первый метод является более гигиенической процедурой, нежели этапом терапии. Промывание в клинике проводится как шприцем, так и с использованием новейших технологий. Суть процедуры сводится к тому, что из «карманов» вымывается гнойное содержимое, а сама лимфоидная ткань обрабатывается антибактериальным или дезинфицирующим раствором.
Вакуумное промывание миндалин – модная процедура или последний способ избежать операции?
Практикующие ЛОР-врачи считают, что курс промывания миндалин, состоящие не менее чем из десяти последовательных процедур, позволяет кардинально улучшить состояние пациента, и, возможно, избавить его от необходимости хирургического вмешательства. Главными условиями, которые обеспечивают результат, являются своевременность процедур (компенсированная и субкомпенсированная стадия хронического тонзиллита) и эффективность методики.
Классическое промывание миндалин проводится при помощи специального шприца с загнутой канюлей. Носик, через который подается раствор, направляется непосредственно в заполненный гнойным содержимым «карман». Дезинфицирующий раствор подается под давлением и вымывает содержимое из лакун. Недостатком метода является его потенциальная травматичность для нежной лимфоидной ткани и невозможность промыть углубления небольших размеров.
Вакуумное промывание миндалин проводится при помощи специального аппарата, который помимо подачи лечебного раствора под высоким давлением обеспечивает вакуумную аспирацию содержимого лакун. Это позволяет очистить «карманы» любых размеров, а главное, спасает от необходимости тесно соприкасаться с миндалиной, а значит, и не повреждает ее. Помимо вакуумной аспирации, новая методика предусматривает обработку тканей ультразвуком, что способствует быстрому отхождению пробок любых размеров и консистенции.
Промывание носа и горла дома – получится ли сэкономить?
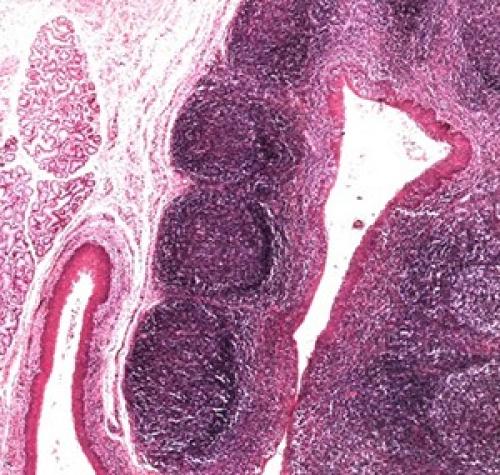
Казеозные пробки выходят сами. От чего образуются пробки в горле
С болью и дискомфортом в горле приходилось сталкиваться каждому человеку не один раз в жизни. Это связано с тем, что банальная простуда сопровождается отёком слизистой глотки в результате чего раздражаются нервные окончания, следствием чего является боль, дискомфорт, першение в горле . В большинстве случаев острый процесс, если иммунитет не снижен, хорошо купируется домашним лечением такими способами, как полосканием горла, обильным питьём. Часто самостоятельное лечение воспалительных заболеваний глотки в домашних условиях не является правильным, поэтому развиваются хронические заболевания глотки, такие как хронический тонзиллит , хронический фарингит , хронический ларингит . В некоторых случаях может беспокоить чувство кома в горле, сухость, неприятный привкус во рту, запах изо рта .

При боли в горле распространено разглядывание полости рта перед зеркалом. При таком разглядывании иногда удаётся заметить гнойные пробки в горле, такие бело жёлтые комочки творожистой консистенции с очень неприятным запахом, которые выходят из отверстий в слизистой боковой стенки глотки. Эти образования называются казеозными пробками (caseus -сыр,творог лат), а выходят они из лакун нёбных миндалин.

Если Вы заметили у себя, у ребенка пробки в горле, значит это хронический тонзиллит , заболевание обусловленное хроническим воспалением в нёбных миндалинах. Нёбные миндалины, в простонародье гланды, это скопление лимфоидной ткани, ограниченное от боковой стенки глотки капсулой . Так как нёбные миндалины находятся в мышечных углублениях — миндаликовых нишах, то их размер гораздо больше чем видно при осмотре горла. В полость рта выступает где то только ¼ часть этих образований. Особенность нёбных миндалин в отличие от других миндалин ( аденоиды , язычная миндалина, гортанная миндалина) в их анатомическом строение.

Дело в том, что нёбные миндалины (гланды) имеют внутри пустоты крипты, что увеличивает их эпителиальную поверхность (миндалина это лимфоэпителиальный орган). Эти крипты открываются на ротовую поверхность миндалины отверстиями- лакунами. Количество этих лакун вариабильно от одной до десятков. Не все лакуны самостоятельно можно обозреть, так как некоторые могут быть прикрыты дубликатурой передней нёбной дужки, так называемой складкой Гиса, которая может усложнять эвакуацию патологического содержимого.

Пробки в горле это продукт воспалительного процесса в нёбных миндалинах, гнойные пробки в горле представляют собой десквамированный эпителий, мёртвые лейкоциты, скопление гнилостных микробов. Нёбная миндалина очень рефлексогенная зона имеющая в своей толще множество нервных окончаний, пробки в горле оказывают раздражающее действие на эти окончания что обуславливает ряд жалоб предъявляемыми больными хроническим тонзиллитом.

Учитывая так же богатое кровоснабжение и лимфообращение нёбных миндалин, пробки в горле вызывают интоксикацию всего организма, что проявляется слабостью, сонливостью, нарушением концентрации внимания. Ряд особенностей нёбных миндалин, таких как её большой размер, наличие крипт внутри, её расположение и участие в проталкивании пищевого комка способствует хроническому воспалению. Образование казеозных пробок в нёбных миндалинах довольно часто говорит о развитии хронического тонзиллита и требуют принятия ряда лечебных мер.